南大阪病院外科における食道裂孔ヘルニアの治療と特徴
南大阪病院外科では2017年より食道裂孔ヘルニアに対する外科的治療に取り組んできました。食道裂孔ヘルニアは非常に頻度の高い疾患で、逆流性食道炎の主な原因として知られています。食道裂孔ヘルニアに対する治療は、内服薬による内科的治療が主流で多くの方が症状の改善が得られますが、やはり内服薬でも症状の改善が得られない方もおられます。内服薬にくわえ生活習慣の改善も重要ですが、胸部不快感や嘔吐・夜間の逆流などの改善しにくい症状もあります。
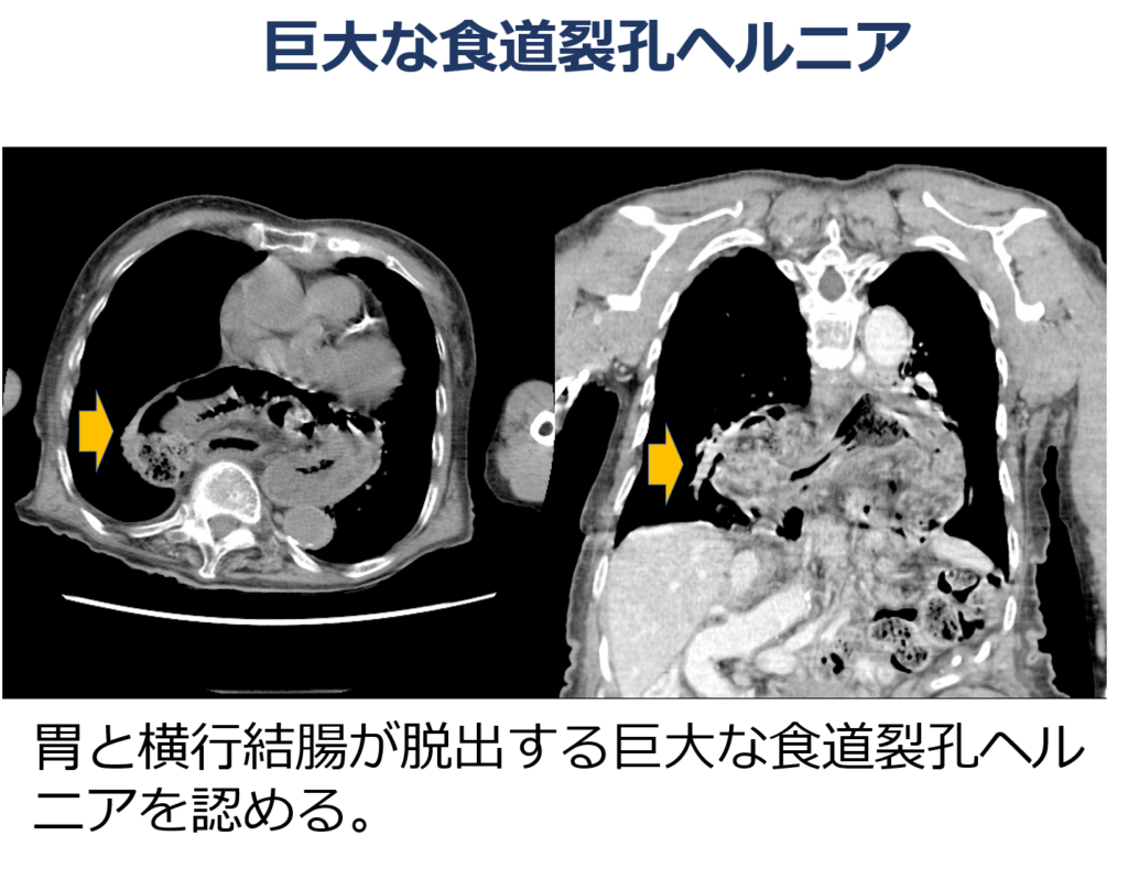
このような内科的治療で改善しにくい場合に有効な治療法が外科的治療です。また、近年の日本ではご高齢の方の人口が増加しており、年齢とともに増加するとされる食道裂孔ヘルニアを有する方が増加しています。ご高齢の方では大きな食道裂孔ヘルニアを有する方が多く、これに伴い手術件数が増加していることが報告されています(図1、2)。


当院での食道裂孔ヘルニアに対する手術の特徴
食道裂孔ヘルニアは良性疾患であることと、日本では逆流性食道炎に対する内服薬が安価に使用できるため、以前は外科的治療を食道裂孔ヘルニアに適応するという機会は非常にまれでした。また、規模の大きな大学病院やセンター病院の外科では「がん」の治療を優先し、良性疾患である食道裂孔ヘルニアに対する外科的治療は、特定の施設を除き顧みられていませんでした。しかも、食道裂孔ヘルニアは外科的治療で改善できる疾患であるとの認識が十分に広がっておらず、日本全体の手術件数も少数にとどまっています。
しかし当院では、食道裂孔ヘルニアは非常に多くの方が有しており、さらにご高齢の方で食道裂孔ヘルニアによる症状でお悩みの方が多くおられることから、この様な方々の生活の質(QOL)が改善できる外科的治療である食道裂孔ヘルニア修復術を導入し積極的に適応してきました。
当科では、2017年より食道裂孔ヘルニアに対する腹腔鏡手術を導入し、現在までに450件を超える手術経験があり、2019年度から2023年度の5年間連続で日本で最も多く手術を行なっています(図3)。約半数の方が、巨大な食道裂孔ヘルニアを有する方に対する手術で、30%以上の方が大阪府外から当院へ手術を目的に来院された方です。さらに、当院では腹腔鏡手術の成績安定のために、日本内視鏡外科学会が認定する技術認定医が4人在職し安全に食道裂孔ヘルニアに対する手術を行っています。

治療成績
南大阪病院外科では、2019年以降毎年年間約60件の食道裂孔ヘルニアに対する手術を行なっています。食道裂孔ヘルニアに対する手術で最も問題になるのは、手術後の食道裂孔ヘルニアの再発です。食道裂孔ヘルニアが大きくなるほど、再発のリスクが高いことが知られており、以前の報告では手術を受けられた方のうち30%から40%にも及ぶとされています。当科では、手術件数の増加に従って胃固定術などの手術術式の工夫を図り、再発のリスクを減らすことができ、現在では3%程度になっております。
手術は以前は開腹手術が主流でしたが、現在では腹腔鏡下に行われることが多く、当院でも初回手術では腹腔鏡下に行なっております。当院では手術件数が多いことで手術に対する習熟が進み、出血量は少なく手術時間も2時間以内で終了します。また術後の合併症は多くありませんが、しばらくの間つかえ感が出る方とお腹にガスが溜まりやすくなります。お腹にガスが溜まりやすくなることは多くの方で見られますが、逆流防止術を行うことで胃から食道へ空気の流れが抑制され、ゲップが少なくなることで腸内への空気の流入が増加することで生じます。
また、最近増加してきているのが他院で食道裂孔ヘルニアの手術が行われた方の術後の再発で当院へ来院された方に対して行う手術です。当院でも当院で手術を受けられた方でヘルニアの再発した方に対しての手術は行なっていますが、やはり初回の手術とは異なり2回目の手術は難しい手術になります。しかし、当院での経験からは多くの方で腹腔鏡下に手術が可能であると考えています。
最後に
食道裂孔ヘルニアに対する手術は、まだ日本では手術件数も少なく多くの施設で手術件数は少数しかありません。当院では食道裂孔ヘルニアに対する手術の経験が豊富で、手術も安全に行える工夫を取り入れております。食道裂孔ヘルニアやそれに伴う逆流性食道炎でお悩みの方は当院外来を受診いただければ症状改善と生活の質の向上の一助になり得る可能性があると考えております。